許多人以為刷牙「越用力、越乾淨」,但在臨床上,我們常看到一種被忽略卻非常常見的牙齒問題——刷耗。
刷耗不是蛀牙,卻會讓牙齒一點一滴被磨損,甚至引發敏感、痠痛與外觀問題。
✦ 什麼是刷耗?
刷耗(Tooth Abrasion)是指因為刷牙方式不當或刷牙力道過大,長期摩擦造成牙齒表面、特別是牙頸部(靠近牙齦的位置)的結構流失。
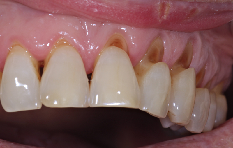
常見特徵如圖下:

- 牙齒靠近牙齦處出現V 型或凹槽
- 刷牙或喝冷熱飲時容易痠、痛、敏感
- 牙齦可能逐漸退縮
- 牙齒外觀變長、邊緣不平滑
✦ 為什麼會發生刷耗?
刷耗通常不是單一原因,而是長期累積造成,常見因素包括:
刷牙太大力
- 手腕用力來回刷
- 認為刷到牙齦出血才算乾淨
使用不適合的牙刷
- 刷毛過硬
- 刷頭過大、不好控制角度
刷牙方式錯誤
- 橫向來回「鋸木式」刷牙
- 長期集中刷同一區域
搭配研磨性過高的牙膏
- 美白顆粒過粗
- 長期使用強效去漬型牙膏
✦ 刷耗會帶來哪些問題?
刷耗不只影響外觀,更可能造成長期困擾:
- 牙齒敏感:冷熱、酸甜刺激明顯
- 牙齒結構變弱:增加牙斷風險
- 牙齦退縮惡化
- 需進行樹脂填補或修復治療
👉 重點是:刷耗是不可逆的,只能預防,無法長回來。
正確刷牙方式:貝氏刷牙法(Bass Technique)
貝氏刷牙法是牙科最推薦、也最能兼顧清潔與保護牙齦的刷牙方式。
刷牙步驟重點
1. 牙刷與牙齦呈 45 度角
讓刷毛尖端輕輕進入牙齦溝
2. 小幅度、輕力震動
- 原地前後微震
- 不是來回大力刷
3. 每一顆牙齒都照顧到
- 一次約 2~3 顆牙
- 刷10~15下
4. 內側、外側、咬合面都要刷
- 前牙可直立牙刷,上下輕刷
📌 刷牙重點不在「力道」,而在「角度+位置+耐心」。
刷牙器材怎麼選,才能避免刷耗?
✔ 牙刷選擇建議
- 軟毛牙刷
- 刷頭小、好控制
- 刷毛末端圓鈍
👉 不是越硬越乾淨,而是越硬越容易傷牙
✔ 電動牙刷可以嗎?
可以,但要注意:
- 選擇感壓提醒功能
- 不需再手動出力
- 停留即可,別來回刷
✔ 牙膏怎麼選?
- 避免長期使用高研磨美白牙膏
- 牙齒敏感者可選擇抗敏感牙膏
什麼情況該看牙醫?
若出現以下情況,建議及早檢查:
- 刷牙或喝冷水時會痠痛
- 發現牙齒根部凹陷
- 牙齦逐漸後退
- 牙齒外型明顯改變
牙醫師可依情況評估是否需要:
- 刷牙方式指導
- 塗佈抗敏感藥劑
- 樹脂修復保護牙頸部
刷牙是保護,不是磨損
刷牙的目的,是清潔牙菌斑、保護牙齒與牙齦,而不是用力把牙齒刷壞。
只要調整力道、方式與器材,就能有效預防刷耗,讓牙齒健康用得更久。
📍劍橋牙醫診所-嘉義市西區新民路618-3號
📞 預約專線:(05)286-0101
LINE官方帳號:@cam6183

